Wer hat es nicht schon einmal erlebt? Scheinbar von einem Tag auf den anderen sind die Fische im Aquarium oder Teich mit einer Vielzahl von kleinen weißen Pünktchen bedeckt, welche die Haut wie in Grieß paniert aussehen lassen. Greift man nicht rechtzeitig ein, so kann man seinen kompletten Aquarienbestand in kurzer Zeit verlieren. Ursache dieser als (Weiß-)Pünktchenkrankheit, Grießkörnchenkrankheit oder auch kurz „Ichthyo“ bekannten Erkrankung ist ein einzelliger Fischparasit, welcher neben Warmwasserfischen auch unsere teichbewohnenden Kaltwasserfische befällt. Im Meerwasseraquarium kommt Ichthyo aufgrund des hohen Salzgehaltes nicht vor; es gibt aber optisch ähnliche Erkrankungen auch bei Meerwasserfischen.
Was verursacht die Weißpünktchenkrankheit?
Der Erreger der Weißpünktchenkrankheit gehört zur Gruppe der einzelligen Wimpertierchen und heißt mit wissenschaftlichem Namen Ichthyophthirius multifiliis, was so viel wie „Fischlaus mit vielen Söhnen/Töchtern“ bedeutet und seinen Lebenszyklus schon gut beschreibt: Der Parasit bohrt sich in die Fischhaut und ernährt sich dort vom Gewebe des Wirts. Dies ermöglicht ihm ein schnelles Wachstum, so dass der winzige Parasit bald mit bloßem Auge als weißer Punkt auf der Oberfläche des Fisches sichtbar ist.

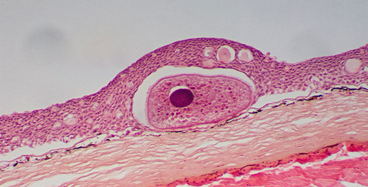
Mikroskopischer Querschnitt durch Ichthyophthirius multifiliis in der Fischhaut
Neben der Hautoberfläche des Fisches – und dem besonders dünnen Gewebe der Flossen – befällt der Parasit auch gerne die Fischkiemen und in manchen Fällen sogar die inneren Organe. Ein erkrankter Fisch hat also nicht nur mit vielen kleinen Verletzungen zu kämpfen, sondern leidet auch unter Sauerstoffmangel, da er mit befallenen Kiemen nur noch schlecht Sauerstoff aus dem Wasser aufnehmen kann. Die winzigen Verletzungen in der Haut und den Kiemen durch den Ichthyo-Parasiten sind optimale Eintrittsstellen für Sekundärinfektionen durch andere Krankheitserreger, die den Fisch zusätzlich schwächen können.
Hat der Parasit sich lange genug vom Wirtsgewebe ernährt und ist er groß genug geworden, so verlässt er den Fisch und sinkt zu Boden, wo er sich mit einer Schutzhülle umgibt und beginnt, sich wieder und wieder durch Teilung zu vermehren. Sobald sich in der Kapsel über 1000 kleine Tochterparasiten drängen, platzt die Hülle auf und entlässt diese sogenannten Schwärmer ins Freiwasser, wo sie sich aktiv auf die Suche nach einem neuen Wirtsfisch machen. Haben sie diesen gefunden, bohren sie sich in die Haut und der Kreislauf beginnt von neuem.

Der Entwicklungszyklus von Ichthyophthirius multifiliis.

Schwärmer dringen in die Fischhaut ein
Hier wird klar, warum der Erreger gerade im Aquarium und in kleineren Teichen zu großen Problemen führen kann: Während in der freien Natur die meisten Schwärmer während ihrer kurzen Lebensdauer von wenigen Tagen kein neues Opfer im Bach oder See finden, ist im künstlichen Biotop das Zusammentreffen von Schwärmer und Fisch bei höherer Besatzdichte fast garantiert – und aus einem weißen Pünktchen werden ganz schnell Hunderte, mit massiven Gesundheitsfolgen für den Fisch.
Welche Symptome zeigen die Fische?
Auffälligstes Symptom für die Pünktchenkrankheit sind die weißen, klar voneinander abgegrenzten Punkte auf Haut und Flossen. Gerade in den Flossen zeigen sich häufig die ersten Punkte, da der Parasit dort besonders leicht ins dünne Gewebe eindringen kann. Bei hell gefärbten und sehr flinken Fischen ist dies manchmal schwierig zu erkennen und bedarf genauer Beobachtung. Es gibt jedoch noch weitere Anzeichen für einen Befall: Von Ichthyo betroffene Fische versuchen oft auch, die Pünktchen durch Scheuern an Steinen und anderen Oberflächen im Aquarium loszuwerden oder schießen ruckartig durch das Becken, anstatt ihr normales Schwimmverhalten zu zeigen. Im fortgeschrittenen Stadium der Erkrankung magern die Fische ab und werden apathisch. Erkrankte Welse leben noch zurückgezogener oder liegen im fortgeschrittenen Stadium sogar tagsüber untypisch auf freien Flächen im Aquarium. Sind die Kiemen des Fisches befallen, so äußert sich die erschwerte Atmung in einer höheren Atemfrequenz und oftmals dem Aufenthalt direkt unter der Wasseroberfläche, um zusätzlichen Sauerstoff aus der Luft aufzunehmen.
Warum bekommen Fische im Aquarium überhaupt die Weißpünktchenkrankheit?
Häufig tritt die Weißpünktchenkrankheit nach dem Einsetzen neuer Fische in ein Aquarium auf. Die Schuldigen sind dann schnell ausgemacht: Die Neuzugänge müssen die Krankheit mitgebracht haben! Oftmals ist die Situation aber nicht ganz so einfach:
Ähnlich wie auch der menschliche Körper zu jeder Zeit Heimat einer Vielzahl von Keimen ist, die meisten Erreger aber erst dann in krankmachender Zahl auftreten, wenn der Organismus und insbesondere das Immunsystem durch andere Faktoren geschwächt ist, so liegt auch im Aquarium oft ein (unsichtbares) Gleichgewicht zwischen (wenigen) Parasiten und (fitten, schwach befallenen) Fischen vor.
Kommen nun neue Fische hinzu, so gerät das Gleichgewicht ins Wanken: Die Alteingesessenen müssen ihr Revier oder ihre Rangordnung gegen die Neuen verteidigen, die Neuankömmlinge müssen sich in der neuen Umgebung zurechtfinden und sich in den bestehenden Besatz eingliedern, was für alle Beteiligten in Stress münden kann. Beim gestressten Fisch arbeitet aber das Immunsystem weniger gut, woraufhin die wenigen Parasiten ihre Chance ergreifen und sich munter vermehren. Und während die Alteingesessenen durch den dauernden Kontakt mit den Parasiten trotz Stress noch recht gut auf den massiven Angriff vorbereitet sind, haben die Neuankömmlinge schlechte Karten: Ihr Immunsystem arbeitet ebenfalls suboptimal und möglicherweise haben sie bei Fang und Transport kleinere Schleimhautschäden davongetragen. Jetzt treffen sie völlig unvorbereitet auf die Armee der Ichthyo-Schwärmer. Tja, und wenn dann bei den neuen Fischen als Ersten eine Vielzahl von Pünktchen auf der Haut erscheinen: Siehe oben!
Neben Stress durch neueingesetzte Fische kann eine latent im Aquarium vorhandene Ichthyo-Infektion auch durch sich plötzlich verschlechternde Wasserverhältnisse, zu hohe oder niedrige Temperatur, falsche Fütterung oder andere Stressfaktoren zum Ausbruch kommen.
Tiergerechte Haltung und Ernährung
Natürlich versucht das Immunsystem des Fisches, die Infektion zu bekämpfen. Wenn Du sicher stellt, dass Deine Fische unter optimalen Bedingungen gepflegt werden, Du also pH-Wert, Wasserhärte und Temperatur passend einstellst, durch regelmäßige Wasserwechsel die Keimdichte und Wasserbelastung im Aquarium niedrig hältst und mit abwechslungsreicher Fütterung die Fischgesundheit förderst, so ist schon ein wichtiger Baustein erfüllt, damit Deine Fische gar nicht erst erkranken. Zusätzlich kannst Du je nach gepflegten Fischarten mit Torfextrakt oder Seemandelbaumblättern ein fischfreundliches Klima im Aquarium schaffen, welches durch die enthaltenen Huminstoffe einem Befall mit Ichthyoschwärmern vorbeugen kann und sogar bei leichtem Befall heilend wirken kann. Die Huminstoffe können allerdings erfahrungsgemäß nur in weichem Wasser ihre Wirkung voll entfalten.
Eine der wichtigsten Aufgaben als Aquarienbesitzer ist die tägliche Kontrolle von Tieren und Technik. Zu letzterem gehört ein Blick auf das Thermometer: Ist die Temperatur im optimalen Bereich für Deine Fische? Liefert der Aquarienfilter noch genügend Strömung oder hat er sich mit Schmutz zugesetzt und eine Reinigung wäre fällig? Auch die Funktion der Beleuchtung und weiterer Technik wie CO2-Anlage oder UV-Wasserklärer sollte täglich überprüft werden.
Besonderes Augenmerk solltest Du aber auf Deine Fische legen: Sehen sie gesund aus? Gibt es Veränderungen auf der Haut? Sind die Flossen wie üblich leicht abgespreizt oder klemmt der Fisch seine Flossen dicht an den Körper? Schwimmen die Fische normal oder schießen sie ruckartig durch das Aquarium und versuchen sich an Gegenständen zu reiben? Halten sie sich mit beschleunigter Atmung direkt unter der Wasseroberfläche auf oder sind sie im ganzen Aquarium unterwegs? Wenn Du Deine Fische jeden Tag, zum Beispiel bei der Fütterung oder Pflegemaßnahmen, kurz aufmerksam beobachtest, lernst Du schnell, die ersten Warnsignale zu erkennen und kannst eingreifen, bevor die Tiere ernsthaft zu Schaden kommen.
Behandlung der Weißpünktchenkrankheit
Sind die Fische in Deinem Aquarium dennoch bereits erkrankt und die ersten weißen Pünktchen auf Haut und Flossen sichtbar, so solltest Du keine Zeit bei der Behandlung verlieren. Wende Dich schnellstmöglich an Deinen Kölle Zoo vor Ort, wo Du individuelle Beratung und geeignete Präparate zur Behandlung der Pünktchenkrankheit erhältst. Bereite Dein Aquarium vor Beginn der Behandlung durch die folgenden Maßnahmen vor:
Vorbereitung des Aquariums
Führe zunächst nach Möglichkeit einen großen Wasserwechsel von ca. zwei Drittel des Beckeninhalts durch. Damit sorgst Du für gute Wasserwerte für die Dauer der Behandlung, entfernst angesammelte Schadstoffe, die den kranken Fisch zusätzlich schädigen könnten und entfernst außerdem den Großteil der bereits vorhandenen Ichthyo-Schwärmer aus dem Freiwasser. Vergiss beim Wiederbefüllen nicht, temperiertes Wasser und einen Wasseraufbereiter zu verwenden, um den Stress für die Fische gering zu halten. Wirf auch einen kritischen Blick in Deinen Aquarienfilter: Wenn eine Reinigung demnächst fällig gewesen wäre, so nimm diese noch vor Beginn der Behandlung vor. Entferne auf jeden Fall Aktivkohle und andere adsorbierende Materialien (wie z.B. Torfgranulat) aus der Filterkammer, da diese auch Medikamente aus dem Wasser aufnehmen und damit die Dosierung unter die zur Beseitigung der Erreger nötige Konzentration drücken könnten. Auch ein UV-Wasserklärer kann zwar zur Behandlung der Weißpünktchenkrankheit eingesetzt werden (s.u.), aber planst Du Medikamente ins Aquarium zu geben, so schalte den Wasserklärer besser aus, da er den Erfolg der Wirkstoffe beeinträchtigen kann.
Zusatzinfo: Wirbellose Aquarienbewohner erkranken nicht an Ichthyo.
Beachte die Packungsbeilage oder lass Dich von einem Kölle Zoo Mitarbeiter beraten: Müssen für die Dauer der Behandlung Wirbellose wie Garnelen und Schnecken aus dem Aquarium entfernt werden? Bei manchen Präparaten ist dies zwingend notwendig, da das Medikament zwar für Fische harmlos, aber durch eventuell enthaltenes Kupfer für unsere wirbellosen Aquarienbewohner schädlich sein könnte. Bringe die Wirbellosen vorübergehend in einem kleinen Aquarium oder Eimer unter und gönne ihnen eine Belüftung und regelmäßige kleinere Wasserwechsel, dann überstehen sie den Behandlungszeitraum in der Regel unbeschadet. Wirbellose können selbst nicht an Ichthyo erkranken und zusammen mit Schnecken und Garnelen in das fischfreie Übergangsheim gelangte Erreger sterben ohne Wirtsfische innerhalb weniger Tage ab.
Zurück zu unseren Fischen: Um den gestressten Tieren während der anstehenden Behandlung die Atmung zu erleichtern, erhöhen wir den Sauerstoffgehalt im Becken durch die Inbetriebnahme einer Membranpumpe mit Ausströmerstein oder richten den Filterauslass so aus, dass möglich viel Oberflächenbewegung stattfindet. Da die meisten Medikamente nur die Schwärmer abtöten können, nicht aber die übrigen, in einer Hülle oder der Fischhaut geschützten Entwicklungsstadien des Parasiten, empfiehlt es sich auch, die Temperatur im Aquarium um ein paar Grad zu erhöhen. Dann entwickeln sich die Ichthyo-Erreger schneller zu Schwärmern, die bekämpft werden können und Deine Fische sind früher beschwerdefrei. Beachte dabei aber, dass die gewählte Temperatur für alle in Deinem Aquarium lebenden Fische noch im Wohlfühlbereich liegt – individuell zu hohe Werte führen zu zusätzlichen Stress und Sauerstoffmangel und wären daher kontraproduktiv.
Besonders anfällige Fischarten
Die Weißpünktchenkrankheit kann grundsätzlich alle Fischarten im Süßwasser befallen, aber nicht alle Fischarten sind auch gleich stark betroffen von den Erreger: Besonders stark erwischt es Fische ohne Schuppen, wie z.B. Welse, und solche Arten, die sehr kleine Schuppen besitzen. Die Prachtschmerle ist hochgradig empfänglich für die Krankheit, aber auch andere Schmerlen und Aale reagieren empfindlich. Gerade bei diesen häufig nachtaktiven Arten ist es sehr wichtig, die Tiere bei der täglichen Futtergabe auf Veränderungen der Hautoberfläche zu kontrollieren, um bei einem Befall rechtzeitig Gegenmaßnahmen ergreifen zu können.
Leider gibt es auch Fischarten, die sehr empfindlich auf die gebräuchlichen Fischmedikamente gegen die Pünktchenkrankheit reagieren und durch die Behandlung Schaden nehmen können oder sogar sterben. Hierzu gehören viele Welse, aber auch manche südamerikanischen Buntbarsche. Was also tun, wenn Du solche Fische in Deinem Aquarium pflegst und nun Ichthyo ausgebrochen ist?
UV-Wasserklärer
Es gibt zum Glück weitere Möglichkeiten, die Krankheit in den Griff zu bekommen. Du kannst einen UV-Wasserklärer installieren, der die Schwärmer der Weißpünktchenkrankheit abtötet und damit den Teufelskreis der Infektion durchbricht und die Fische ohne Medikamentenzugabe gesund werden lässt. Der UV-Wasserklärer beseitigt darüber hinaus dauerhaft alle gefährlichen Keime im Aquarienwasser, sodass Deine Fische sich auch nie wieder mit anderen ansteckenden Krankheiten infizieren werden. Keine Sorge, die nützlichen Filterbakterien werden vom UV-Wasserklärer nicht beeinflusst! Ein UV-Wasserklärer kann auch die Lösung sein, wenn in Deinem Aquarium ein Ichthyo-Stamm grassiert, der für die üblichen Medikamente resistent geworden ist. Wenn Du komplett auf Medikamente und zusätzliche Technik verzichten möchtest, kannst Du Deine empfindlichen Fische auch mit der Umsetzmethode von Ichthyo befreien.
Die Umsetzmethode
Die Umsetzmethode ist mit etwas höherem Aufwand verbunden, aber sie funktioniert in jedem Fall! Sie macht es sich zunutze, dass Ichthyo-Schwärmer stets länger als 12 Stunden benötigen, um aus der Schutzhülle zu schlüpfen, sich Deine Fische also nicht neu infizieren können, wenn sie jeweils nach 12 Stunden in ein neues Aquarium umgesetzt werden. Dazu verwendest Du zwei kleine Vollglasaquarien, die ausnahmsweise auch unter 54 Liter Inhalt haben dürfen. Du bereitest die Kleinstaquarien mit temperiertem und auf die passenden Wasserwerte eingestellten Wasser (aber nicht aus dem befallenen Aquarium!) vor und setzt alle Fische in eines der Becken. Nach 12 Stunden fängst Du die Fische wieder heraus und setzt sie in das zweite vorbereitete Becken. Nun leerst Du das erste Becken, reinigst und desinfizierst es und füllst es erneut mit frischem Wasser. Nach 12 weiteren Stunden dürfen die Fische wieder in das erste Becken. Dies wiederholst Du im Wechsel, bis mindestens 2-3 Tage lang keine Pünktchen mehr auf den Fischen zu sehen waren. Da die Schwärmer länger zum Ausschlüpfen benötigen, als die Fische im jeweiligen Aquarium sind, verlieren die Fische ihre Infektion, ohne sie einer medikamentösen Behandlung aussetzen zu müssen. Sie werden sich also mit jedem Umsetzen wohler fühlen und dürfen nach ca. 10 Tagen in ihr Ausgangsaquarium zurück, in dem zurückgebliebene Parasiten zwischenzeitlich ohne vorhandene Wirte abgestorben sind.

Die Umsetzmethode unter Verwendung von zwei Aquarien
Salzzugabe
Oft wird empfohlen, eine Ichthyo-Behandlung mit der Zugabe von Salz zu kombinieren. Kochsalz hat zwei Wirkungen im Aquarium: Die Erhöhung der Salzkonzentration im Wasser tötet viele einzellige Erreger ab und der Fisch reagiert auf den Salzgehalt mit einer Erneuerung der Schleimhaut. Dadurch streift er mit der alten Schleimhaut auch viele Erreger ab – allerdings nicht die bereits in der Haut vergrabenen Weißpünktchenerreger. Dennoch kann die Salzzugabe die Medikamentenbehandlung unterstützen, denn das Medikament kann nun direkter an der Fischhaut zur Wirkung kommen. Aber Achtung: Während der Fisch seine Schleimhaut erneuert, ist seine Haut empfindlicher für mechanische und andere Schädigungen. Wie bereits erwähnt, wirken viele Präparate zur Bekämpfung der Pünktchenkrankheit auch nur gegen die freischwimmenden Schwärmer, nicht aber gegen die Parasiten in der Haut.
Wenn die Fische wieder gesund sind
Beachte bei jeder Medikamentenbehandlung unbedingt die in der Gebrauchsanweisung vorgegebenen Fristen. Allgemein kannst Du im Warmwasseraquarium als Richtlinie davon ausgehen, dass frühestens drei Tage, nachdem die letzten Ichthyo-Pünktchen von Deinen Fischen verschwunden sind, keine Gefahr einer erneuten Ansteckung besteht. Möchtest Du ganz auf Nummer Sicher gehen, so warte am besten 4-5 Tage ab, bevor Du zum Abschluss der Behandlung das Medikament wieder aus dem Aquarium entfernst. Dazu gehst Du folgendermaßen vor: Führe einen großen Teilwasserwechsel durch und bestücke Deinen Aquarienfilter zusätzlich mit einem Aktivkohlefilter, der die noch vorhandenen Medikamentenreste aus dem Aquarienwasser holt. Vergiss nicht, die Aktivkohle nach spätestens einer Woche wieder aus dem Filter zu entfernen. Nun können auch gegebenenfalls vorhandene Schnecken oder Garnelen ins Aquarium zurückkehren.
Ähnliche Erreger
Neben dem Erreger der Weißpünktchenkrankheit Ichthyophthirius gibt es eine Reihe weiterer einzelliger Parasiten, welche die Fischhaut befallen und teils ähnliche Krankheitsbilder hervorrufen können. Hierzu gehören Chilodonella, ein weiteres Wimpertierchen, sowie der Erreger der Samtkrankheit Piscinoodinium, welche den Fisch wie mit einem feinen weißen samtigen Film überzogen erscheinen lassen. Diese Erreger verbreiten sich direkt von Fisch zu Fisch und lassen sich auf dieselbe Weise bekämpfen wie Ichthyo. Erst in den letzten 20 Jahren in der Aquaristik in Erscheinung getreten ist ein nahe mit Ichthyo verwandter Parasit namens Neoichthyophthirius schlotfeldii. Diese Art vermehrt sich ohne Zwischenstadium ebenfalls direkt in der Fischhaut, weshalb ihre Bekämpfung sich langwieriger gestalten kann.
Weißpünktchenkrankheit bei Teichfischen
Prinzipiell gilt alles bisher Gesagte auch für an Ichthyo erkrankte Teichfische - es gibt allerdings ein paar Stolpersteine: Zum einen sind Koi, Goldfisch und Biotopfische als Kaltwasserarten deutlich temperaturempfindlicher; eine Erhöhung der Wassertemperatur im Teich zur Verkürzung der Behandlung muss also sehr vorsichtig und unter genauer Beobachtung der Fische erfolgen. Insbesondere in den Sommermonaten kommen sonnig gelegene Teiche häufig sowieso schon an ihre Temperaturgrenzen, und die Fische könnten durch in den Kiemen eingenistete Parasiten unter massiven Sauerstoffmangel geraten. Andererseits läuft die Entwicklung der Parasiten bei niedrigen Temperaturen stark verlangsamt ab. Während bei höheren Temperaturen bereits nach drei Tagen die – bekämpfbaren – Schwärmer freigesetzt werden, dauert es in kaltem Wasser bis zu 14 Tage, weshalb die Behandlungsdauer entsprechend verlängert und eventuell Medikamentengaben wiederholt werden müssen. Zusätzlich kann es bei großen Teichvolumen sinnvoll sein, die Fische in ein kleineres Bassin umzusetzen und dort zu behandeln, um mit geringeren Mengen an Medikamenten auszukommen.
Tipp: Viele Kaltwasserfische entwickeln im Frühjahr einen Laichausschlag, der mit kleinen weißen Pusteln im Kopfbereich leicht mit der Weißpünktchenkrankheit verwechselt werden kann. Der Laichausschlag beeinträchtigt den Fisch aber in keiner Weise und verschwindet nach einiger Zeit von allein wieder.
Fazit
Die Weißpünktchenkrankheit muss kein Schreckgespenst der Aquaristik sein, sondern lässt sich durch gute Aquarienpflege, schnelles Handeln im Bedarfsfall und das für Dein Aquarium oder Deinen Teich von unseren Kölle Zoo Mitarbeitern maßgeschneiderte Maßnahmenpaket ohne Fischverluste überstehen oder sogar komplett vermeiden. Aufgrund der hohen Bedeutung nicht nur für Zierfische, sondern auch für Nutzfische wie Forellen wird übrigens intensiv an diesem Thema geforscht: Neben der Entwicklung von Impfstoffen, die zur Unterstützung des Fischimmunsystems möglicherweise schon in wenigen Jahren zur Verfügung stehen könnten, sind aktuell auch Oberflächensubstanzen von Bakterien im Fokus, welche die Schwärmer abtöten, aber keinerlei negative Wirkung auf die Fische und die Aquarienbiologie haben.
Hast Du weitere Fragen zum Thema Weißpünktchenkrankheit? Dann wende Dich gerne direkt an Deinen Kölle Zoo Markt vor Ort oder kontaktiere uns über Facebook oder Instagram.